Skip to main content
William N. Sullivan, DDS
Christopher Stanosheck, DDS
PH: (239) 597-4944

Crowns

Crowns

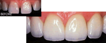
If you’re self-conscious about your smile due to cracked, broken, decayed or worn teeth, we can bring back your healthy, natural-looking smile with crowns. A filling can restore a small defect in a tooth, but a crown is the most durable, strongest way to restore a tooth with extensive damage, front or back for the long term. With all the materials and techniques modern dentistry has to offer, crowns can be totally natural looking.

dental crowns before after

Additional benefits of crowns are correcting bite problems, closing spaces between teeth, changing the angulations of teeth, and they can be used to replace missing teeth permanently, as part of a bridge, or over an implant.